Estapedectomía - Estapedotomía
¿Qué es la Estapedectomía - Estapedotomía?
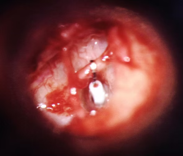
Es una operación dirigida a corregir la pérdida de audición por la otoesclerosis (fijación del estribo) substituyendo el estribo (Estapedectomía) o parte del mismo (Estapedotomía) por una prótesis. Esta cirugía facilita la transmisión del sonido, lo que permite recuperar la audición.
La operación se realiza preferentemente bajo anestesia local con sedación y bajo visión microscópica a través del conducto auditivo externo, sin incisiones externas (excepto en conducto estrecho).
¿Cuáles son los síntomas?
- Pérdida de audición progresiva (hipoacusia lenta).
- Zumbidos en el oído (acúfenos)
- Vértigo o mareo.
¿Que resultados conseguimos después de la cirugía?
- Recuperar la audición de transmisión del sonido (90% de pacientes operados)
- La cirugía no asegura la desaparición de ruidos (acúfenos), ni de vértigo, aunque pueden desaparecer tras la misma.
El antes y el después de la cirugía:

Foco otoesclerótico
La otoesclerosis inmoviliza la platina impidiendo el paso de la onda sonora al oído interno y produciendo pérdida auditiva.

Prótesis de estapedotomía
Perforación de la platina y colocación de prótesis desde la ventana oval a la rama larga del yunque recuperando la transmisión de la onda sonora y mejorando la audición.
¿Necesitas más información?
Llámanos al 93 200 18 14 o escríbenos a nuestro formulario
